Last month, Eyebeam Art + Technology Center in New York turned their main exhibition space into X-Lab, a “living” work space where the public can interact with Eyebeam’s fellows and artists-in-residence, learn about their processes, and follow the development of their projects. Among this group of artist-technophiles are resident Stefani Bardin and fellow Jon Cohrs, who are cooking up two innovative, albeit unappetizing, food projects, and making some interesting discoveries along the way.
Stefani Bardin: M2A™: The Fantastic Voyage
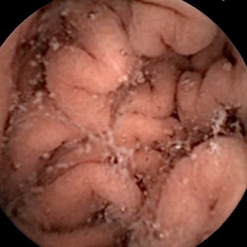
Bardin’s project for Eyebeam, M2A™: The Fantastic Voyage, takes viewers on a journey through the human digestive system by way of the M2A™ and the SmartPill. A quick Google search on these “creative” tools led me to texts about chronic constipation and gastrointestinal bleeding. Oh dear. Gastroenterology, the branch of medicine concerned with diseases of the stomach, intestines and associated organs, uses both devices. As Bardin explained it, the M2A™ (pictured above) is a hard capsule pill endoscope that, after being swallowed, takes pictures of what it sees in the GI tract. The SmartPill is softer and records pressure, pH levels, and temperature. The data is transmitted to a receiver worn by the patient, which is then uploaded to proprietary software and translated into graphic reports. Both pills are naturally excreted from the body. Strangely, neither device has been used to study how different foods affect the human body. Not until now, anyway. After five years of searching for a licensed physician to work with her, Bardin finally found a partner in Dr. Braden Kuo, a gastroenterologist with Harvard Medical School. Kuo will work together with Bardin as he leads the first ever clinical study to use the M2A™ and SmartPill to look at how the human body responds to processed versus whole foods. Bardin’s project for Eyebeam could make gastroenterological history.
Participants will be asked to consume two meals developed by Bardin. One will consist of various processed foods: Top Ramen, Gatorade, and Gummy Bears. The second meal, a whole foods version of this menu, will consist of homemade ramen, an all-natural gatorade flavored with green tea, and agar gummy bears made by the artist (cooking in collaboration with Chef Mike Lee of Studio Feast). Participants will swallow the M2A™ and SmartPill immediately after each meal and the devices will record what happens in the participant’s digestive systems. If you follow food and health reports, you can already guess how this study will play out. The results will likely affirm that processed foods are bad and whole foods are good. To wit, “eat this, not that.” But the point of M2A™, Bardin insists, is not to tell people what to eat. Rather, the artist sees the project as a way to “make a gesture,” to help people “parse the conflicting information that’s out there” about food and health. For sure, what the medical field and media outlets say is good for people to eat one day, seems to be the thing that might kill us the next.
The research aspect of Bardin’s project is fascinating, and certainly admirable. “But what is the art?” I asked Bardin. Excitedly, she began to describe the prototype that she’ll begin building next month. If you think she’s eyeball-deep in stomach acid, just you wait. “I want the viewer to be the pill,” she said. Images taken by the M2A™ will be projected in 360 degrees on a spandex pod, a tent-like structure that viewers can step or crawl into—kind of like reentering the womb. And like the womb, the piece will have surround sound so to speak, a sonic interpretation of graphic data from the SmartPill. (Eyebeam engineers Roddy Schrock and Marco Tandefelt are assisting with the design). In essence, M2A™ will be a totally immersive experience.
While uses of technology have given way to effective medicines and methods of food production, it has also led to things like processed foods and genetically modified crops that are impacting the human body in ways that we are still trying to understand. When Bardin’s project is complete, we might have a better sense of these things, if not intellectually then at least in the physical experience of her work.
Jon Cohrs: Spice Trade Expedition
Where Bardin uses ingestible technologies as a vehicle to examine food in the human body, Eyebeam fellow Jon Cohrs is exploring our disconnect with food and the environment via canoe. For the past two weeks, Cohrs and a team of experts (including outdoor guide Ryan Van Luit, and videographer Elisa Giardina Papa) have been on a “Marco Polo-esque” trek through the meadowlands of a place far, far away: New Jersey. The state boasts one of the highest concentrations of natural and artificial flavoring factories in the United States, a quirky fact that sparked the idea for Cohrs’s project, Spice Trade Expedition. “We’re going straight to the source, to see if we can find out more,” Cohrs says in an explanatory video,”in much the same way you’d visit a farm to connect with your tomato.” The expedition will paddle around New Jersey in search of different flavoring factories, attempt to interview factory employees when they arrive, and talk to locals about food. They’ll also cook with and eat “local” processed foodstuffs throughout the excursion. At Eyebeam, a real-time GPS tracking interface allows the public to see their location.
When I contacted Cohrs for an interview, the expedition was just getting underway. He replied to my email describing their first day out:
“We’re camped out in a shack in the random town of Oradell. We didn’t make it too far today before we hit an old Water Works water gate. Tomorrow morning we’re getting up super early and portaging across a busy county road and continuing our trip southwards. We’ve stopped by our first artificial flavoring company, Takasago, a Japanese giant that specializes in menthol and peppermint.”
Pithier reports appear on Cohrs’s blog NJ Spice Trade, which chronicles the daily experiences of the expedition. A recent post describes an unexpected run in with the police, homeland security, and the FBI. It had something to do with an oil refinery and a threat to national security. The expedition has had other surprises along the way, though not quite as intense. Cohrs wrote to me a few days into the trip saying, “I think the most surprising thing [so far] were the massive transitions between suburbia, industry, and wetlands. There were also very different and distinct changes in smells from area to area.”
The adventures of Cohrs and crew will soon be edited into a documentary film. But it won’t preach the evils of chemically made foods as one might expect. Cohrs aims instead to give insight into this landscape of industrial food production in an entertaining and humorous manner. As I gather, that’s the nature of his personality. He signed his last email, “sent from space.”
The expedition has come to an end and, starting today, Cohrs is taking artists, cooks, and other interested parties with him on a three-day canoe trip through the New Jersey wetlands. Tomorrow, participants will help prepare an all-artificial late Thanksgiving feast with dishes like Doritos and Tofurkey. Frankly, that’s one meal I’m happy to miss out on this holiday weekend. Food and technology aren’t as savory a pair in the context of eating as they are in art.
On December 7, Bardin and Cohrs will participate in the Eyebeam event Artificial Intelligence, a critical discussion about art and technology that will take place around an “informal” dining table. X-Lab continues through January 29, 2011.









Pingback: Food+Tech Bites 11/29 – 12/5 | Food+Tech Connect
Pingback: Stefani Bardin: M2A™: THE FANTASTIC VOYAGE « Department of Media Study News & Events
Pingback: Performing Participation » Archive » Artist – Jon Cohrs